METAL FREE

メタルフリー治療について

今のお口に満足していますか?
ワンランク上の詰め物・被せ物治療

お口の中の銀歯や古い治療跡、気になっていませんか?当院のメタルフリー治療では、金属によるリスクを避けつつ、自然な見た目と機能性を両立しています。さらに、高い接着技術で歯と一体化するようにしっかり固定し、健康的なお口を長く維持することができます。

メタルフリー治療とは、
こんな治療です

メタルフリー素材を用いた修復治療
透明感のある白い歯、美しく整った歯並びへ

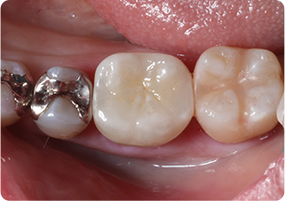
メタルフリー治療とは、歯科治療において金属を一切使わず、天然の歯に近い白さと透明感を持つ素材で作製した詰め物や被せ物を装着して歯を修復する方法です。自然な見た目で周囲の歯になじみやすく、審美性を重視される方にも適しています。

メタルフリーなら、叶います! 金属アレルギーのリスク回避  自然な白さ 整った歯並び 高い安定性

当院では、メタルフリー治療を
推奨しています

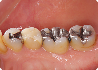
金・銀・パラジウム・銅、インジウムなどを含む合金で作製された銀歯は、お口や全身へのさまざまな悪影響が懸念されるため、海外ではほとんど使用されていません。当院では、長期的な健康を考え、歯科治療において金属を一切使用しないメタルフリー治療を推奨しています。

こんなお悩み、
ございませんか?

金属アレルギーが心配

金属素材は、長期間お口の中にあることで溶け出し、体内に取り込まれることがあります。その成分がタンパク質と結合して異物とみなされると、かゆみや湿疹など金属アレルギーの症状を引き起こす可能性があります。

歯ぐきの黒ずみが気になる

被せ物や土台に使用された金属の成分が溶け出し、歯ぐきに沈着することがあります。その結果、歯ぐきが黒ずんで見える「メタルタトゥー」と呼ばれる状態になり、見た目の美しさに影響を及ぼすことがあります。

むし歯を繰り返す

金属素材は経年劣化により変形や腐食を起こすことがあります。すると、歯と詰め物・被せ物の間に隙間が生じ、そこから細菌が侵入して再びむし歯になる原因となります。

お口の中の詰め物や被せ物で、このようなお悩みはありませんか?
当院のメタルフリー治療なら、自然な美しさと機能性を兼ね備えた改善が可能です。
まずはお気軽にご相談ください。

太田歯科医院の4つのこだわり
──精密なメタルフリー治療のために──

01

メタルフリー治療の新しいスタンダード、「接着治療」を得意としています

従来のメタルフリー治療は、歯科用セメントで固定する「合着」という方法が用いられてきました。この方法では歯を大きく削る必要があり、詰め物・被せ物が外れるリスクや、すき間から細菌が侵入して二次むし歯になるリスクもありました。一方、接着治療では特殊な接着剤を用いて、歯を削った箇所に詰め物・被せ物を科学的に結びつけるため、より強固に固定することができ、高い精度と長期的な安定性が期待できます。

合着治療

歯を削った箇所に、セメントを使用して詰め物・被せ物をはめ込む方法です。

接着治療

長期的な
安定を
追求!

近年開発された接着力の高い歯科用接着剤を使用して、セラミックと歯を一体化します。

接着力を高めるサンドブラスターを使用しております。

当院では、被せ物や詰め物を装着する際に「サンドブラスト処理」という前処理を行っています。
補綴物の内面に細かい粉末を吹き付け、微細な凹凸をつくることで接着剤との結合力を高めます。この工程を行うことで、被せ物や詰め物が外れにくくなり、より長く安心してご使用いただけます。

接着治療を用いた
メタルフリー治療のメリット

強固な接着

歯と詰め物・被せ物が高い精度で密着しているため、外れにくくなります。

二次むし歯の予防

すき間から細菌が侵入するリスクを減らし、むし歯の再発を防ぎます。

審美性の向上

接着材自体が透明性を持つため、ナチュラルな色調を再現できます。

健康な歯を守る

歯を削る量を抑えられるため、健康な歯を可能な限り残すことができます。

02

数種類の印象剤を使い分けることで、精確な印象採取を実現します

詰め物や被せ物を作製する際には、印象採得(お口の型取り)を行います。当院ではアルジネート印象材・寒天印象材・シリコーン印象材の3種類を使い分け、精度の高い型取りを実現しています。全体の形態を捉えるのに適したものや、細部を精密に再現できるものなど、それぞれの素材の特性を活かすことで、適合性に優れた補綴物の作製につなげています。

アルジネート印象剤 ×
寒天印象剤

全体の形態を捉えるアルジネート印象剤(ピンク)、細部を精密に再現できる寒天印象剤(ブルー)を併用します。

シリコーン印象剤

シリコーン印象剤は粘度の異なる2種類を組み合わせています。それぞれの特性を活かし、あらゆる症例に対応します。

03

ラバーダム防湿で
再治療のリスクを抑制します

ラバーダム防湿とは、治療する歯以外をゴム製のシートで覆い、処置部位を隔離する方法です。これにより唾液や血液の侵入を防ぎ、感染のリスクを大幅に低減します。さらに、湿度を適切にコントロールすることで、接着剤が確実に作用し、歯にしっかりと接着させることが可能となります。

04

フェルール効果を得るための
矯正的挺出を行っています

フェルール効果とは、歯の根に残った健全な歯質を土台(支台)として利用することで、被せ物の保持力や歯根の破折抵抗を高める効果があります。この効果を得るために行う治療が「矯正的挺出」で、部分矯正によって残存歯質を引き上げ、十分なフェルールを確保します。残存歯質が少なく、被せ物の安定性や強度に不安がある場合に行うことで、歯根破折のリスクを抑え、歯を長期的に保存することができます。

1~2mm以上のフェルールを確保する

矯正的挺出
(ルートエクストルージョン)

引っ張る

両隣の歯にワイヤーをかけ、残存歯をゴムの力で引き上げます。

フェルール効果を得られる位置まで歯が引き上がりました。

土台となるコアを設置し、被せ物をセットします。

矯正的挺出・歯冠長延長術・
セラミッククラウン症例

術前

MTM、歯冠長延長後

術後

主訴 むし歯の歯を抜きたくない
治療期間/回数 5ヵ月、10回
価格(税込) 154,000円(税込)
リスク・副作用 セラミックの破損・脱離が生じる場合がある
ポイント 通常だと抜歯と診断されるが、局所矯正と外科処置を行うことにより、歯根を持ち上げ被せ物が可能になった。歯根を持ち上げることにより長期的に安定した被せ物が可能になる。

フェルールが確保できない歯は、従来であれば抜歯が基本とされていました。当院では矯正的挺出によってフェルールを確保し、これまで抜歯と診断されていた歯でも保存できる可能性を広げています。

当院のメタルフリー治療の種類

インレー(詰め物)

比較的小さな部分を修復する際はインレーが適しています。当院では、耐久性に優れたジルコニアや、美しさと強度のバランスが優れたe-maxなどに加え、保険診療では、コンピューターで設計し、削り出しを行うCAD/CAMにも対応しています。

自費診療

ジルコニア

77,000~88,000円

自費診療

e-max

77,000~88,000円

自費診療

ハイブリッド

55,000円

保険診療

CAD/CAM

保険適用

(すべて税込価格)

クラウン(被せ物)

大きなむし歯や欠け、神経を取った歯などを保護・補強するのがクラウンです。当院では、強度を誇るジルコニア、その外側をポーセレンで覆い審美性を高めたジルコボンド、しなやかさを持つハイブリッドなど、幅広くご用意しています。

自費診療

ジルコニア

88,000円~110,000円

自費診療

ジルコボンド

121,000円

自費診療

e-max

110,000円

自費診療

ハイブリッド

77,000円

保険診療

CAD/CAM

保険適用

(すべて税込価格)

コア(土台)

大きなむし歯や神経を取った歯は、内部に土台を築いてから被せ物を装着します。審美性と歯へのやさしさに配慮したファイバーコアや、直接お口の中に構築するレジンなど、状態に合わせて適切な素材を選択します。

自費診療

ファイバー

5,500~11,000円

保険診療

レジン

保険適用

(すべて税込価格)

ダイレクトボンディング

ダイレクトボンディングとは、歯科用の高品質な樹脂を直接盛り付けて修復する方法です。当院では接着性、色調安定性に優れたボンディング剤を用い、自然な色合いと形を再現しています。

ラミネートべニア

歯の表面をわずかに削り、薄い陶器のようなシェルを貼り付けることで、歯の色や形を整える治療法です。前歯の変色やすき間、欠けなどを自然にカバーでき、美しく調和のとれた口元を演出します。

自費診療

ポーセレン

132,000円

(すべて税込価格)

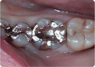
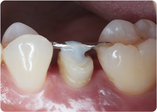
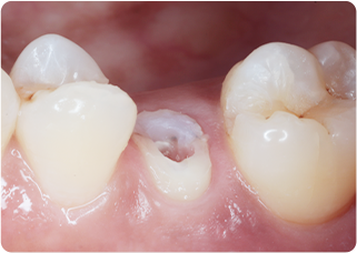
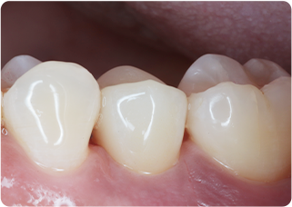
セラミックオーバーレイ症例

術前

術中

術後

主訴 むし歯の治療をしたい
治療期間/回数 3週間、計3回
価格(税込) 77,000円(税込)
リスク・副作用 セラミックの破損、一時的な知覚過敏が生じる場合がある
ポイント ラバーダム防湿下で接着することにより、歯とセラミックが一体化することを狙った。オーバーレイにすることにより歯ぐきに近い健康な歯質を削らずに治療することができた。

金属素材も取り扱っています

保険診療

メタル

詰め物

被せ物

コア

自費診療

メタルボンド

99,000円(税込)

当院では、詰め物・被せ物、土台となるコアに金属素材をご用意しています。また、メタルフリー素材の内側を金属で補強した「メタルボンドクラウン」も取り扱っており、金属のメリットを活かしながら自然な美しさを実現します。

安心の5年保証制度

当院ではメタルフリー治療に「5年間の保証制度」を設けており、治療後の安心をサポートしています。期間中に欠けや割れ、脱落などが生じた場合には、無償で再治療を行います。保証内容の詳細については、担当歯科医師までご確認ください。

5 years warranty

太田歯科医院は、メタルフリー治療において確かな技術とこだわりをもって取り組んでいます。見た目の美しさや耐久性を重視される方、金属の詰め物や被せ物でお悩みの方は、まずはお気軽にご相談ください。