ROOT CANAL TREATMENT

根管治療について

あきらめないでください!
歯を残す最後の切り札があります

根管治療とは、むし歯や感染によって歯の神経が炎症を起こし、歯の根の内部にある「根管」に細菌が入り込んでしまった場合に行う治療です。高い技術を要する繊細な処置ですが、成功すれば抜歯を避け、ご自身の歯を残すことができる、非常に価値のある治療法です。

このような症状がある場合には、根管治療を検討します

むし歯が神経まで
進行している

歯髄炎

むし歯が進行し、歯の神経が炎症・感染を起こしています。

歯がズキズキと痛む
歯がしみる

神経の
炎症

むし歯中期の症状です。歯髄炎が疑われる状態です。

歯の破折などで
神経を損傷した

歯髄
壊死

外傷により、歯の内部が傷ついている恐れがあります。

神経を除去した歯に
炎症が再発した

再感染

歯の根に膿が溜まるなどして、再治療が必要なケースです。

詰め物・被せ物の下で
むし歯が進行

二次
むし歯

目に見えない部分で、感染が進行している場合があります。

歯がグラグラする
噛みしめると痛む

根尖性
歯周炎

歯の根の先にまで、感染が広がっている可能性があります。

むし歯の進行度から考える
根管治療

横にスクロールできます→

むし歯の進行度 C1~C5

根管治療とは、
どういったものなのか?

歯の内部、歯根部分の治療です

根管治療では、歯の根の中にある細い管状の空間(根管)から、感染した神経や細菌を丁寧に取り除き、専用の器具で内部を洗浄・消毒します。その後、すき間ができないよう薬剤で密閉し、再感染を防ぎます。根の状態によっては、治療を数回に分けて行うこともあります。

徹底した細菌除去が重要に!
根管治療が抜歯回避のカギに!

歯を抜かず、使い続けるために行います

強い痛みや歯ぐきの腫れ、歯根に膿が溜まるなどの症状があっても、適切な根管治療を行えば歯を残せる可能性があります。歯を支える根の中を清潔に保ち、再感染を防ぐことで、その歯を長く使い続けることができるのです。抜歯という最終手段を避けるための、大切な保存治療です。

根管治療は、歯の奥深くに広がったむし歯や感染から歯を守り、できるだけ「抜かずに残す」ための大切な治療です。
ご自身の歯でこれからも快適に噛み続けるために、早期に適切な処置を受けましょう。

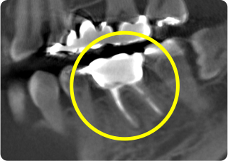
症例

術前

術後

主訴 奥歯で噛むと痛い
治療期間/回数 1ヵ月、3回
価格(税込) 88,000円
リスク・副作用 病変再発、歯根破折の可能性
ポイント う蝕検知液を用い、むし歯の取り残しが無いようにし、ラバーダム防湿を行い、無菌的に根管治療を行った。根管充填材は、殺菌作用の強い保険適応外のMTAセメントを使用した。

根管治療の流れ

STEP 1

検査・診断

歯科用CTや電気歯髄診断器を用いて、根管の状態を精確に診断し、治療計画を立てます。

STEP 2

感染した神経と汚染物質の除去

むし歯に侵された神経や汚染された歯質を除去します。必要に応じてマイクロスコープ(歯科用顕微鏡)を使用し、精密な治療を行います。

STEP 3

洗浄・消毒

根管内の汚れを徹底的に洗浄し、殺菌作用のある薬剤で消毒します。

STEP 4

根管充填

細菌の侵入を防ぐため、専用の薬剤で根管をすき間なく封鎖します。歯の状態に応じて、STEP3とSTEP4を複数回行うことがあります。

STEP 5

被せ物

根の治療が完了したら、最終的な土台を作り、型取りをして被せ物を装着します。これで治療は完了です。

根管は非常に複雑な構造をしているため、精密な処置が求められます。歯の状態によっては治療回数が多くなることもありますが、根気よく取り組んでいきましょう。

なぜ、根管治療は
何度も通院が必要なの?

細菌を完全に
取り除くため

細菌は根気よく丁寧に除去する必要があります。一度で取り切ることは難しく、複数回の処置を行います。

できるだけ歯質を
残すため

歯質を削りすぎないよう、慎重に少しずつ治療を進めることで、歯の耐久性を維持します。

薬剤の効果を
発揮させるため

根管内に薬剤を入れた後、一定期間そのままにして作用させることで、細菌に対する効果を持続させます。

根管治療は、一般的に「治療に時間がかかる」「複数回の通院が必要になる」など、患者さまにとってご負担の大きい治療です。しかし、歯を抜かずに残すことができるという点で、そのメリットは非常に大きいといえます。当院では、治療方針や現在の歯の状態について丁寧にご説明し、ご理解・ご納得いただいたうえで治療を進めてまいります。将来にわたりご自身の歯を大切に使い続けていただくためにも、ご理解とご協力をお願いいたします。

根管治療の成功率を高める
当院の取り組み

01

根管治療の精度を高めるために

視野を拡大する
先端機器を導入しています

マイクロスコープ

歯の細部を、最大20倍に拡大して視認できる顕微鏡です。複雑な根管の構造も精確に捉えることができるため、治療の精度と成功率の向上に大きく貢献します。

歯科用CT

立体的に撮影できる歯科用CTは、根の形や曲がり具合、感染の広がりなどを正しく把握するために欠かせません。より的確な診断と治療計画が可能になります。

拡大鏡

治療部位を数倍に拡大して見ることができる虫眼鏡のような装置です。精密な作業を必要とする場面で、見落としや処置のムラを防ぎ、丁寧で質の高い治療につなげます。

02

再感染を防ぐために

保険診療でも
ラバーダムを使用します

お口の中には、さまざまな常在菌が存在しています。治療中にこれらの菌が患部に入り込み再感染を引き起こすことは、絶対に避けなければなりません。当院では、自費・保険診療にかかわらず、ラバーダムというゴム製のシートで治療部位以外を覆い、唾液や血液の侵入を遮断しています。この処置により、患部を無菌的な環境に保ち、再発のリスクを大幅に低減することができます。

MTAセメントを
導入しています

MTAセメントは、根管治療の際、根管内の洗浄が完了した後に根管内へ詰めることで、治療した歯を守るセメントです。優れた殺菌効果と高い生体親和性を持ち、根管内の隙間をしっかり封鎖します。また、水酸化カルシウムを放出して歯や骨の再生を促す「硬組織形成作用」があり、神経を抜いた歯の失われた組織の再生を促すことができます。

03

効率的な根管形成のために

さまざまな機器や器具で
アプローチします

電気歯髄診断器

歯に微弱な電流を流し、神経の生死を判定する機器です。根管治療が必要かどうかを見極めるための重要な診断ツールです。

根管長測定器

電気的な測定で根管の精確な長さを把握します。根の先端まで無駄なく、かつ削りすぎない安全な治療に欠かせません。

根管拡大装置

電動で根管内を効率的に拡大・清掃する装置です。手作業よりも均一で精密な処置が可能になり、治療時間も短縮されます。

ニッケルチタンファイル

しなやかで折れにくい性質を持ち、湾曲した根管にも柔軟に対応。複雑な形状の根管も効率よく、かつ安全に清掃できます。

太田歯科医院では根管治療において多くの実績を重ねています。
ひどいむし歯でお悩みの方や、
他院の根管治療にご満足いただけなかった方も、
まずはお気軽にカウンセリングにお越しください。