CASE
当院の症例
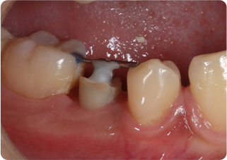
根管治療
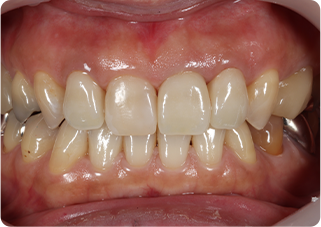
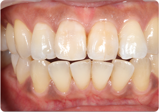
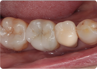
精密根管治療①
術前
術後
| 主訴 | 奥歯で噛むと痛い |
|---|---|
| 治療期間/回数 | 1ヵ月、3回 |
| 価格(税込) | 88,000円(税込) |
| リスク・副作用 | 病変再発、歯根破折の可能性 |
| ポイント | う蝕検知液を用い、むし歯の取り残しが無いようにし、ラバーダム防湿を行い、無菌的に根管治療を行った。根管充填材は、殺菌作用の強い保険適応外のMTAセメントを使用した。 |
精密根管治療②
術前
術後
| 主訴 | 奥歯で噛むと痛い |
|---|---|
| 治療期間/回数 | 1ヵ月、3回 |
| 価格(税込) | 88,000円(税込) |
| リスク・副作用 | 病変再発、歯根破折の可能性 |
| ポイント | う蝕検知液を用い、むし歯の取り残しが無いようにし、ラバーダム防湿を行い、無菌的に根管治療を行った。根管充填材は、殺菌作用の強い保険適応外のMTAセメントを使用した。 |
精密根管治療③
術前
術後
| 主訴 | 奥歯で噛むと痛い |
|---|---|
| 治療期間/回数 | 1ヵ月、4回 |
| 価格(税込) | 88,000円(税込) |
| リスク・副作用 | 病変再発、歯根破折の可能性 |
| ポイント | う蝕検知液を用い、むし歯の取り残しが無いようにし、ラバーダム防湿を行い、無菌的に根管治療を行った。根管充填材は、殺菌作用の強い保険適応外のMTAセメントを使用した。 |
精密根管治療④
術前
術後
| 主訴 | 奥歯で噛むと痛い |
|---|---|
| 治療期間/回数 | 1ヵ月、3回 |
| 価格(税込) | 88,000円(税込) |
| リスク・副作用 | 病変再発、歯根破折の可能性 |
| ポイント | う蝕検知液を用い、むし歯の取り残しが無いようにし、ラバーダム防湿を行い、無菌的に根管治療を行った。根管充填材は、殺菌作用の強い保険適応外のMTAセメントを使用した。 |
メタルフリー治療
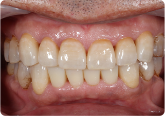
セラミッククラウン症例①
術前
仮歯
技工物
術後
| 主訴 | 見た目を綺麗にしてほしい |
|---|---|
| 治療期間/回数 | 3ヵ月、5回 |
| 価格(税込) | 363,000円(税込) |
| リスク・副作用 | セラミック破損の可能性 |
| ポイント | 自然な色、形となるようにオーダーメイドでセラミックを盛ってクラウンを作製した。 |
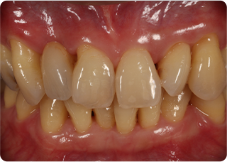
セラミッククラウン症例②
術前
仮歯
術後
| 主訴 | 前歯を綺麗にしたい、隙間が気になる |
|---|---|
| 治療期間/回数 | 4ヵ月、6回 |
| 価格(税込) | 792,000円(税込) |
| リスク・副作用 | セラミック破損の可能性 |
| ポイント | 仮歯で歯ぐきの状態を整え、自然な色、形となるようにオーダーメイドでセラミックを盛り、クラウンを作製した。 |
セラミッククラウン症例③
術前
術後
| 主訴 | 見た目をきれいにしたい |
|---|---|
| 治療期間/回数 | 2ヵ月、3回 |
| 価格(税込) | 110,000円(税込) |
| リスク・副作用 | セラミックの脱離・破損の可能性 |
| ポイント | 自然な色、形となるようにオーダーメイドでセラミックを盛ってクラウンを作製した。 |
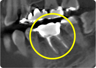
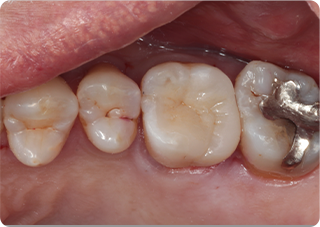
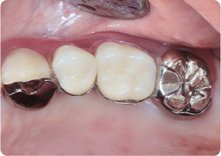
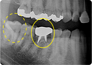
自家歯牙移植・精密根管治療・セラミッククラウン症例
術前
術後
| 主訴 | 奥歯の銀歯がぐらぐらして取れそう |
|---|---|
| 治療期間/回数 | 5ヵ月、10回 |
| 価格(税込) | 264,000円(税込) |
| リスク・副作用 | 生着不良、歯根吸収、骨性癒着の可能性 |
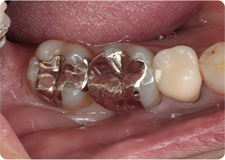
| ポイント | 銀歯の中でむし歯が進行し、保存不可能だったため抜歯し、後ろの親知らずを移植。移植の際に3Dプリンターで作製した親知らずのレプリカを使用し、治療時間の短縮と移植ポジションの確認を行った。生着するのを待ち、精密根管治療を行った後、セラミッククラウンを装着した。 |
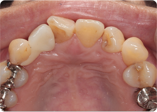
矯正的挺出・歯冠長延長術・セラミッククラウン症例①
術前
MTM、歯冠長延長後
術後
| 主訴 | むし歯の歯を抜きたくない |
|---|---|
| 治療期間/回数 | 5ヵ月、10回 |
| 価格(税込) | 154,000円(税込) |
| リスク・副作用 | セラミックの破損・脱離が生じる場合がある |
| ポイント | 通常だと抜歯と診断されるが、局所矯正と外科処置を行い、歯根を持ち上げることで、被せ物が可能になった。歯根を持ち上げたことにより長期的に安定した被せ物が可能になる。 |
矯正的挺出・歯冠長延長術・セラミッククラウン症例②
術前
MTM、歯冠長延長後
術後
| 主訴 | むし歯の歯を抜きたくない |
|---|---|
| 治療期間/回数 | 5ヵ月、10回 |
| 価格(税込) | 154,000円(税込) |
| リスク・副作用 | セラミックの破損・脱離が生じる場合がある |
| ポイント | 通常だと抜歯と診断されるが、局所矯正と外科処置を行い、歯根を持ち上げることで、被せ物が可能になった。歯根を持ち上げたことにより長期的に安定した被せ物が可能になる。 |
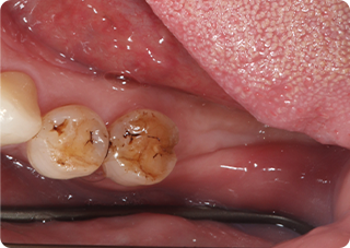
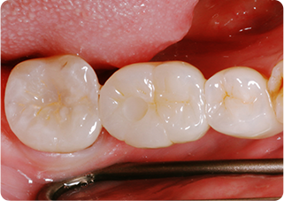
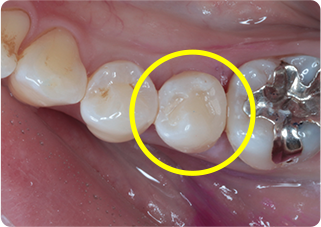
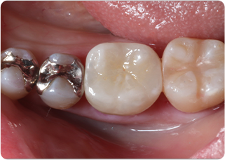
セラミックオーバーレイ症例①
術前
術中
術後
| 主訴 | むし歯の歯を治療をしたい |
|---|---|
| 治療期間/回数 | 3週間、3回 |
| 価格(税込) | 77,000円(税込) |
| リスク・副作用 | セラミックの破損、一時的な知覚過敏が生じる場合がある |
| ポイント | ラバーダム防湿下で接着することにより、歯とセラミックが一体化することを狙った。オーバーレイにすることで、歯ぐきに近い健康な歯質を削らずに治療することができる。 |
セラミックオーバーレイ症例②
術前
ラバーダム防湿
技工物
仮歯
| 主訴 | 左下奥歯が噛むと痛い時がある |
|---|---|
| 治療期間/回数 | 2週間、2回 |
| 価格(税込) | 77,000円(税込) |
| リスク・副作用 | セラミックの破損、一時的な知覚過敏が生じる場合がある |
| ポイント | 歯科技工士により、奥歯であっても周囲の歯に自然に馴染む色合いで精密なセラミックを作製。またセラミック装着時にラバーダム防湿を行うことで、詰め物の接着効果を最大限発揮できるようにした。 |
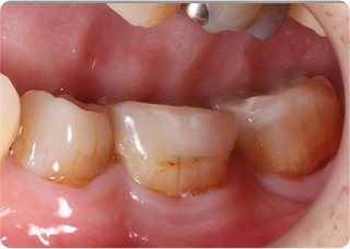
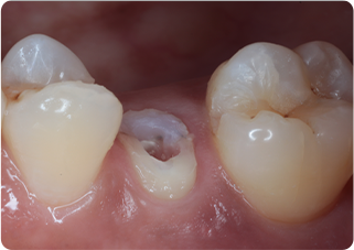
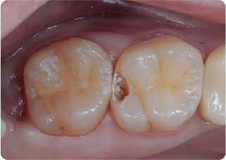
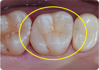
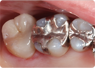
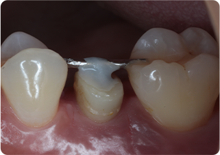
セラミックアンレー症例①
術前
むし歯除去
ラバーダム防湿
術後
| 主訴 | むし歯の治療をしたい |
|---|---|
| 治療期間/回数 | 2週間、2回 |
| 価格(税込) | 77,000円(税込) |
| リスク・副作用 | セラミックの破損、一時的な知覚過敏が生じる場合がある |
| ポイント | ラバーダム防湿をし、唾液や呼気の侵入を防ぎ湿度を下げることで、セラミックの接着力の向上を計った。接着力の向上により、脱離や破折の予防になる。 |
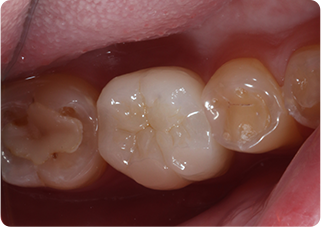
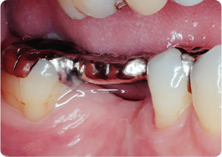
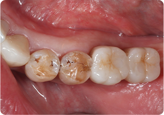
セラミックアンレー症例②
術前
むし歯除去&IDS
ラバーダム防湿
術後
| 主訴 | 右下奥歯の銀歯を白くしたい |
|---|---|
| 治療期間/回数 | 2週間、2回 |
| 価格(税込) | 143,000円(税込) |
| リスク・副作用 | セラミックの破損、一時的な知覚過敏が生じる場合がある |
| ポイント | 銀歯の中はむし歯になっていた。金属イオンにより歯の内部に黒い部分があるが、むし歯を染め出すう蝕検知液を使用し、選択的にむし歯のみを除去。また、セラミック装着時にラバーダム防湿を行うことで、詰め物の接着効果を最大限発揮できるようにした。 |
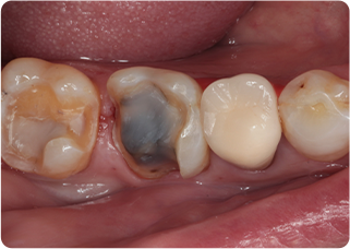
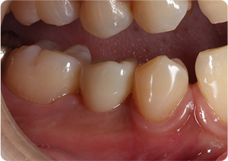
セラミックアンレー症例③
術前
ラバーダム防湿
技工物
術後
| 主訴 | 左下奥歯のむし歯の治療をしたい、良い素材での治療を希望 |
|---|---|
| 治療期間/回数 | 2週間、2回 |
| 価格(税込) | 154,000円(税込) |
| リスク・副作用 | セラミックの破損、一時的な知覚過敏が生じる場合がある |
| ポイント | むし歯を染め出すう蝕検知液を使用し、選択的にむし歯のみを除去。むし歯を除去後、すぐに詰め物でカバーをし、接着力の向上と歯を保護した。当院ではセラミック専門の歯科技工士によって精度の高いセラミックを作製。精度の高いセラミックを作製。またセラミック装着時にラバーダム防湿を行うことで、詰め物の接着効果が最大限発揮できるようにしている。 |
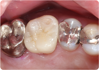
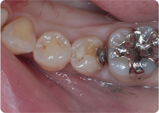
セラミックアンレー症例④
術前
インレー除去
ラバーダム防湿
シリコン印象
技工物
術後
| 主訴 | 右上奥歯の銀歯に食べ物が挟まる |
|---|---|
| 治療期間/回数 | 2週間、2回 |
| 価格(税込) | 77,000円(税込) |
| リスク・副作用 | セラミックの破損、一時的な知覚過敏が生じる場合がある |
| ポイント | 銀歯の詰め物の中がむし歯になっていたため、う蝕検知液を使用し選択的にむし歯のみを除去。またセラミック装着時にラバーダム防湿を行うことで、詰め物の接着効果を最大限発揮できるようにした。 |
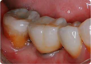
セラミックアンレー症例⑤
術前
ラバーダム防湿
術後
| 主訴 | 左上奥歯の銀歯の部分が噛むと痛い |
|---|---|
| 治療期間/回数 | 2週間、2回 |
| 価格(税込) | 77,000円(税込) |
| リスク・副作用 | セラミックの破損、一時的な知覚過敏が生じる場合がある |
| ポイント | 銀歯の詰め物の中がむし歯になっていたため、う蝕検知液を使用し選択的にむし歯のみを除去。またセラミック装着時にラバーダム防湿を行うことで、詰め物の接着効果を最大限発揮できるようにした。 |
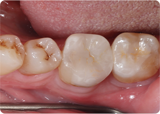
ダイレクトボンディング症例①
術前
むし歯除去
ラバーダム防湿
術後
| 主訴 | なるべく歯を削らずにむし歯の治療をしたい |
|---|---|
| 治療期間/回数 | 2週間、2回 |
| 価格(税込) | 44,000円(税込) |
| リスク・副作用 | コンポジットレジンの破損、一時的な知覚過敏が生じる場合がある |
| ポイント | う蝕検知液を用い、選択的にむし歯の箇所のみ削り、最小限の切削を目指した。また充填時にラバーダム防湿を行うことで、レジンの接着効果が最大限発揮できるようにした。 |
ダイレクトボンディング症例②
術前
むし歯除去
ラバーダム防湿
術後
| 主訴 | なるべく歯を削らずにむし歯の治療をしたい |
|---|---|
| 治療期間/回数 | 2週間、2回 |
| 価格(税込) | 44,000円(税込) |
| リスク・副作用 | コンポジットレジンの破損、一時的な知覚過敏が生じる場合がある |
| ポイント | う蝕検知液を用い、選択的にむし歯の箇所のみ削り、最小限の切削を目指した。また充填時にラバーダム防湿を行うことで、レジンの接着効果が最大限発揮できるようにした。 |
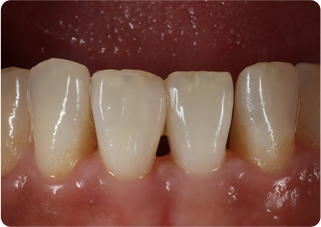
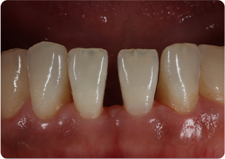
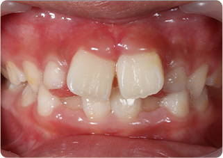
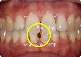
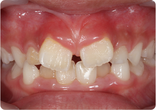
ダイレクトボンディング症例③ 正中離開
術前
ラバーダム防湿
術後
| 主訴 | 下の前歯の隙間が気になる |
|---|---|
| 治療期間/回数 | 2週間、3回 |
| 価格(税込) | 66,000円(税込) |
| リスク・副作用 | コンポジットレジンの破損、一時的な知覚過敏が生じる場合がある |
| ポイント | むし歯ではないので歯を削らずにダイレクトボンディングを行った。歯の形が理想の形になるよう、術前にシリコンインデックスを作成し充填の際に使用。また、充填時にラバーダム防湿を行うことで、詰め物の接着効果が最大限発揮できるようにした。 |
ダイレクトボンディング症例④
術前
術後
| 主訴 | 前歯の黒い線が気になる |
|---|---|
| 治療期間/回数 | 2週間、2回 |
| 価格(税込) | 33,000円(税込) |
| リスク・副作用 | コンポジットレジンの破損、一時的な知覚過敏が生じる場合がある |
| ポイント | むし歯ではないが、削らないと着色が取れなかったため、褐線の部位のみ削り、色が合うように詰め物の色を調整した。また充填時にラバーダム防湿を行うことで、詰め物の接着効果が最大限発揮できるようにした。 |
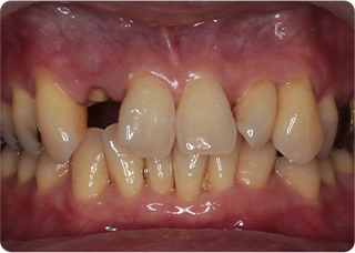
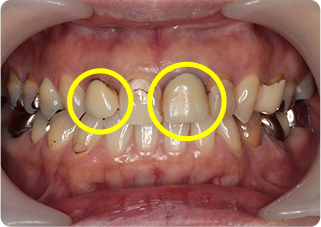
接着性ジルコニアブリッジ症例
術前
術後
| 主訴 | 右上前歯の被せ物が取れた |
|---|---|
| 治療期間/回数 | 5ヵ月、10回 |
| 価格(税込) | 187,000円(税込) |
| リスク・副作用 | 接着性ブリッジの脱離、破折の可能性 |
| ポイント | 右上2番はむし歯により保存不可能なため抜歯。従来だと両隣在歯を大きく削り、ブリッジをしていたが、接着性ブリッジを選択することにより、従来のブリッジと比較し歯を削る量を最小限に抑えた。 |
インプラント
インプラント症例①
術前
術後
| 主訴 | 左下奥歯を抜歯したが、入れ歯以外の治療を希望 |
|---|---|
| 治療箇所 | 左下6番、7番 |
| 治療期間/回数 | 5ヵ月、13回 |
| 価格(税込) | 836,000円 |
| リスク・副作用 | 神経・血管損傷、術後感染、出血、インプラント周囲炎、上部構造破損、チタンアレルギー |
| ポイント | 抜歯後、歯肉と骨の回復を待ちインプラントを埋入した。プロビジョナルレストレーションにて歯肉のマネージメントをすることにより、審美的で機能的な最終補綴物の作製が可能になった。 |
インプラント症例②
術前
術後
| 主訴 | 右下のブリッジに物が詰まる |
|---|---|
| 治療箇所 | 右下6番 |
| 治療期間/回数 | 5ヵ月、13回 |
| 価格(税込) | 418,000円 |
| リスク・副作用 | 神経・血管損傷、術後感染、出血、インプラント周囲炎、上部構造破損、チタンアレルギー |
| ポイント | プロビジョナルレストレーションにて歯肉のマネージメントをすることにより、審美的で機能的な最終補綴物の作製が可能になった。 |
インプラント症例③
術前
術後
| 主訴 | 右下奥歯が噛むと痛い |
|---|---|
| 治療箇所 | 右下7番 |
| 治療期間/回数 | 4ヵ月、13回 |
| 価格(税込) | 418,000円 |
| リスク・副作用 | 神経・血管損傷、術後感染、出血、インプラント周囲炎、上部構造破損、チタンアレルギー |
| ポイント | プロビジョナルレストレーションにて歯肉のマネージメントをすることにより、審美的で機能的な最終補綴物の作製が可能になった。 |
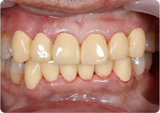
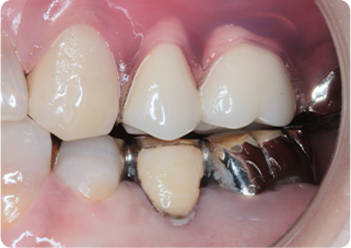
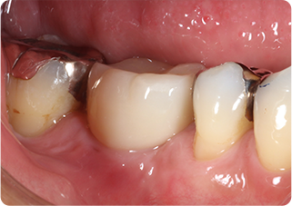
インプラント&セラミッククラウン&オーバーレイ症例
術前
術後
| 主訴 | 右下のブリッジに物が挟まる |
|---|---|
| 治療期間/回数 | 4ヵ月、10回 |
| 価格(税込) | 836,000円 |
| リスク・副作用 | 神経・血管損傷、術後感染、出血、インプラント周囲炎、上部構造破損、セラミックの破損・脱離の可能性 |
| ポイント | ブリッジの支台歯はセラミックに置き換え、ダミーの歯のところにインプラントを埋入した。セラミックはなるべく周りの歯と色を合わせて作製している。 |
義歯(入れ歯)
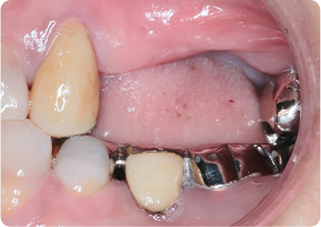
ノンクラスプデンチャー症例①
術前
術後
| 主訴 | 入れ歯の見た目(バネ)が気になる |
|---|---|
| 治療期間/回数 | 2ヵ月、4回 |
| 価格(税込) | 264,000円 |
| リスク・副作用 | 修理が困難、素材の経年劣化の可能性 |
| ポイント | ノンクラスプデンチャーは素材的にたわみやすく噛み合わせが安定しにくいが、金属を併用することにより強度が増し、噛み合わせを安定させることができた。また金属を併用することにより、入れ歯を可能な限り小さくすることができた。 |
その他
骨隆起除去症例
術前
術後
| 主訴 | 入れ歯が歯肉に当たって痛い |
|---|---|
| 治療期間/回数 | 4週間、4回 |
| 価格(税込) | 保険適応 |
| リスク・副作用 | 術後に出血、疼痛、感染の可能性 |
| ポイント | 入れ歯が骨隆起に強く当たり痛みがあったため、骨隆起を除去した。入れ歯が入る歯肉の部分はなるべく尖っている場所が無い方が痛みが出づらいため、症例に応じて骨隆起除去を行う場合がある。 |
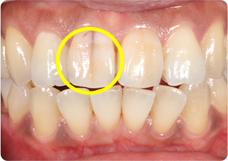
上唇小帯切除症例
術前
術後
| 主訴 | 上の前歯のすきっ歯が気になる |
|---|---|
| 治療期間/回数 | 1ヵ月、3回 |
| 価格(税込) | 保険適応 |
| リスク・副作用 | 出血、術後疼痛の可能性 |
| ポイント | 上唇小帯の付着異常により、正中離開が起きていた。上唇小帯を電気メスで切除した結果、歯を正中に寄せることが出来た。 |